Orders Logout

Media Picture ID Case Number Case Name From Is Liked Status Created Changed Type
2705 Fonus Transport dalarna Transport
transport.dalarna@fonus.se
2021-12-03 09:44:13 2021-12-03 09:44:14
2704 Fonus begr
karlstad@fonus.se
2021-12-02 14:28:16 2021-12-02 14:28:19
2703 Fonus begr
info@ohmansbegravningsbyra.se
2021-12-02 09:50:49 2021-12-02 09:50:51
2702 Fonus Begr
saffle@fonus.se
2021-12-01 16:33:11 2021-12-01 16:33:13
2701 Fonus Begravning Begravning
transport.goteborg@fonus.se
2021-12-01 14:21:17 2021-12-01 14:21:30
2700 Fonus Begravning Begravning
transport.goteborg@fonus.se
2021-12-01 14:20:00 2021-12-01 14:20:10
2699 Fonus Begravning Begravning
transport.goteborg@fonus.se
2021-12-01 14:18:07 2021-12-01 14:18:15
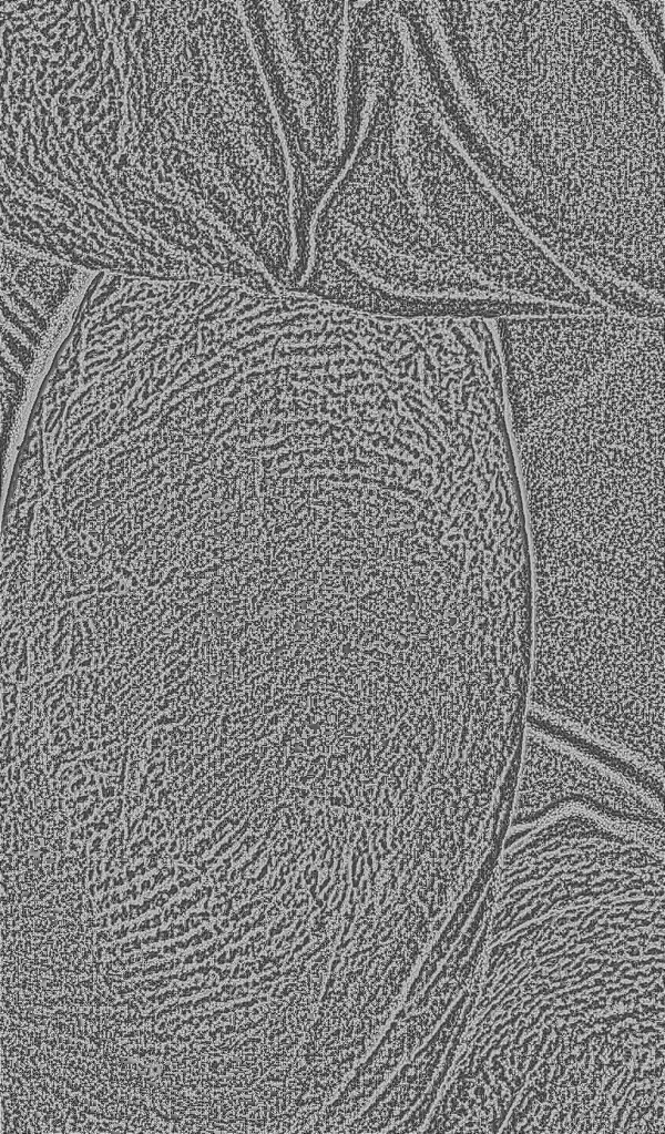
Picture ID: 2705
Case Number: 386489
Case Name: Gunhild Nilse'n
From: Fonus Transport dalarna Transport transport.dalarna@fonus.se
Status:
Created: 2021-12-03 09:44:13
Changed: 2021-12-03 09:44:14
Type: Left Fingerprint
Picture ID: 2704
Case Number: 386416
Case Name: Marko Mustapää
From: Fonus begr karlstad@fonus.se
Status:
Created: 2021-12-02 14:28:16
Changed: 2021-12-02 14:28:19
Type: Left Fingerprint
Picture ID: 2703
Case Number: 387984
Case Name: Marianne Söderlund
From: Fonus begr info@ohmansbegravningsbyra.se
Status:
Created: 2021-12-02 09:50:49
Changed: 2021-12-02 09:50:51
Type: Left Fingerprint
Picture ID: 2702
Case Number: 386552
Case Name: Hanna Berg
From: Fonus Begr saffle@fonus.se
Status:
Created: 2021-12-01 16:33:11
Changed: 2021-12-01 16:33:13
Type: Left Fingerprint
Picture ID: 2701
Case Number:
Case Name: ingegärd karlsson
From: Fonus Begravning Begravning transport.goteborg@fonus.se
Status:
Created: 2021-12-01 14:21:17
Changed: 2021-12-01 14:21:30
Type: Left Fingerprint
Picture ID: 2700
Case Number:
Case Name: ingegärd karlsson
From: Fonus Begravning Begravning transport.goteborg@fonus.se
Status:
Created: 2021-12-01 14:20:00
Changed: 2021-12-01 14:20:10
Type: Left Fingerprint
Picture ID: 2699
Case Number:
Case Name: ingegärd karlsson
From: Fonus Begravning Begravning transport.goteborg@fonus.se
Status:
Created: 2021-12-01 14:18:07
Changed: 2021-12-01 14:18:15
Type: Left Fingerprint